353 RUE DU GENERAL LAMBERT
97436 SAINT-LEU

02 62 34 85 80

Du lundi au vendredi
Le samedi

De 08h30 à 18h
De 08h30 à 12h

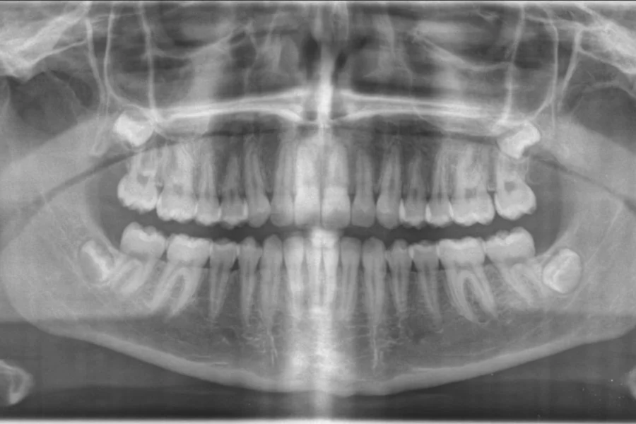
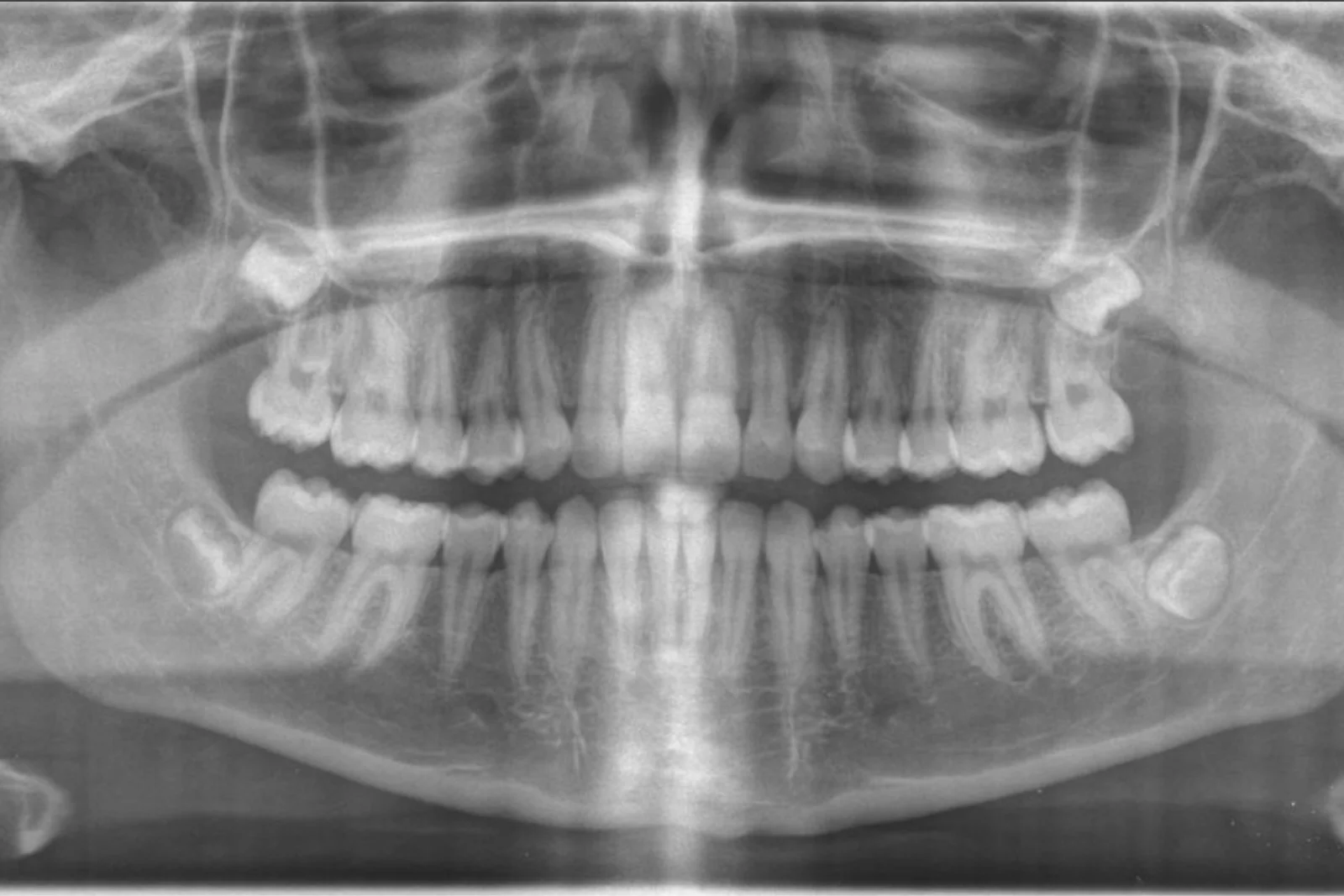
Imagerie

Panoramique + Cone beam

Nous réalisons au cabinet l’imagerie qu’elle soit 2D ou 3D, aide au diagnostic, à la planification pour la pose d’implants et à l’extraction de dents de sagesse complexes.


353 RUE DU GENERAL LAMBERT
97436 SAINT-LEU

02 62 34 85 80

Du lundi au vendredi
Le samedi

De 08h30 à 18h
De 08h30 à 12h

© Cabinet Dentaire Perle de Corail tout droit réservé
Site conçu par l'Agence R Numérique.